โœ‰ [email protected] | ๐Ÿ“ž +260 978 875 229 | 1271A Leopards Hill Road, Chongwe, Lusaka
โœ“ ISO 15189:2022 Consultancy
Products
All Products Laboratory Equipment Reagents & Chemicals Consumables Safety & PPE Lab Furniture
Solutions
Pharmaceutical Research & Academia Clinical & Diagnostic Food & Beverage Environmental Industrial Services Brands Resources Eduforum About Us Contact
Request a Quote

Technical Resources

Application notes, safety data sheets, product guides, ISO templates, and calibration certificates for laboratory professionals.

Featured Resource

ISO 15189:2022 Laboratory Accreditation Guide

A comprehensive guide to preparing your medical laboratory for ISO 15189:2022 accreditation โ€” covering quality system requirements, documentation, and the assessment process.

Request Full Guide
ISO Guide
Resource Library

Technical Documents & Guides

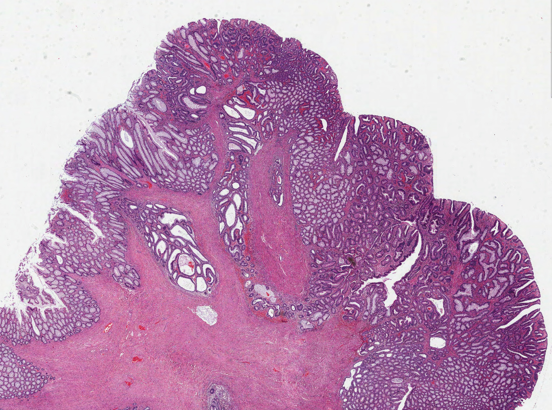
Optimising H&E Staining for Routine Histopathology
Application Note
Optimising H&E Staining for Routine Histopathology
Step-by-step guide to achieving consistent haematoxylin and eosin staining results using Bio-Optica and Leica reagents on automated and manual platforms.
Request Document โ†’
Mettler-Toledo Balance Calibration & Maintenance
Product Guide
Mettler-Toledo Balance Calibration & Maintenance
Best practices for daily balance calibration, environmental factors affecting accuracy, and preventive maintenance schedules for MT analytical balances.
Request Document โ†’
Correct Pipetting Technique โ€” Eppendorf Research Plus
Video Guide
Correct Pipetting Technique โ€” Eppendorf Research Plus
Video walkthrough covering proper pipette technique, volume setting, tip attachment, and aspiration for accurate and reproducible liquid handling.
Request Document โ†’
Formalin 10% Neutral Buffered โ€” GHS Safety Data Sheet
Safety Data Sheet
Formalin 10% Neutral Buffered โ€” GHS Safety Data Sheet
GHS-compliant SDS covering hazard identification, handling precautions, first aid measures, PPE requirements, and disposal procedures for NBF.
Request Document โ†’
ISO 15189:2022 Quality Manual Template for Medical Laboratories
ISO Resource
ISO 15189:2022 Quality Manual Template for Medical Laboratories
Customisable quality manual template aligned with ISO 15189:2022 requirements, developed by Delonix accreditation consultancy team.
Request Document โ†’
Heavy Metal Analysis in Drinking Water โ€” ICP-OES Method
Application Note
Heavy Metal Analysis in Drinking Water โ€” ICP-OES Method
Method application note for Cu, Pb, Cd, Zn, and As determination in drinking water using ICP-OES with Merck certified reference standards.
Request Document โ†’
Hettich Centrifuge Selection Guide for Clinical Laboratories
Product Guide
Hettich Centrifuge Selection Guide for Clinical Laboratories
Comparative guide to selecting the right Hettich centrifuge for haematology, serum separation, urinalysis, and blood banking applications.
Request Document โ†’
PCR Optimisation for Tropical Clinical Samples
Application Note
PCR Optimisation for Tropical Clinical Samples
Practical guide to optimising PCR performance with challenging samples including whole blood, FFPE tissue, and high-inhibitor environmental specimens.
Request Document โ†’
Laboratory PPE Selection Guide โ€” Biosafety Levels 1โ€“3
Product Guide
Laboratory PPE Selection Guide โ€” Biosafety Levels 1โ€“3
Practical guide to selecting appropriate PPE for different biosafety levels โ€” gloves, respiratory protection, gowning, and eye protection selection criteria.
Request Document โ†’

Need a Specific Document?

Safety data sheets, calibration certificates, product specifications, and application notes are available on request.

Request a Document